愛知県名古屋市北区
萩野通2丁目10-1
052-914-0343
WEB予約
ホーム
HOME
クリニック紹介
CLINIC
医師紹介
DOCTOR
診療時間・アクセス
ACCESS
診療内容
MEDICAL
一般治療
むし歯・根管治療
歯周病治療
予防処置
小児歯科
審美治療
セラミック治療
ダイレクトボンディング
治療症例
ホワイトニング
専門治療
小児矯正
成人矯正
インプラント治療
精密入れ歯
採用情報
RECRUIT
料金表
PRICE
ブログ
BLOG
ブログ
BLOG
ホーム
HOME
クリニック紹介
CLINIC
医師紹介
DOCTOR
診療時間・アクセス
ACCESS
診療内容
MEDICAL
一般治療
むし歯・根管治療
歯周病治療
予防処置
小児歯科
審美治療
セラミック治療
ダイレクトボンディング
治療症例
ホワイトニング
専門治療
小児矯正
成人矯正
インプラント治療
精密入れ歯
採用情報
RECRUIT
料金表
PRICE
ブログ
BLOG
ホーム
HOME
クリニック紹介
CLINIC
医師紹介
DOCTOR
診療時間・アクセス
ACCESS
診療内容
MEDICAL
一般治療
むし歯・根管治療
歯周病治療
予防処置
小児歯科
審美治療
セラミック治療
ダイレクトボンディング
治療症例
ホワイトニング
専門治療
小児矯正
成人矯正
インプラント治療
精密入れ歯
採用情報
RECRUIT
料金表
PRICE
ブログ
BLOG
052-914-0343
WEB予約
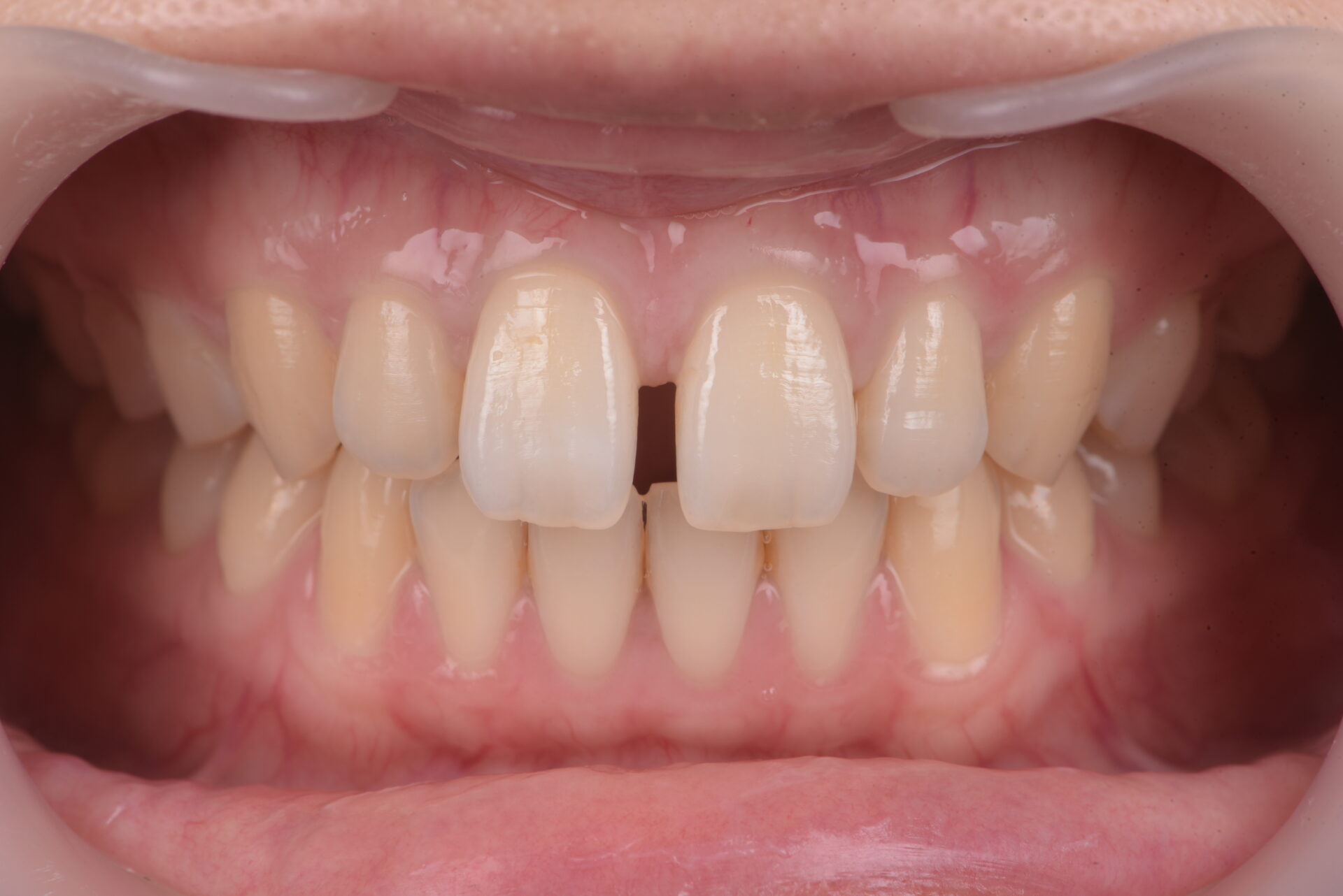
【正中離開(すきっ歯)の治療】歯を削らず1日で改善するダイレクトボンディング症例
2026年3月9日
「前歯のすき間が気になる」 「すきっ歯を治したい」 このようなお…
[read more]
カレンダー
2026年3月
月
火
水
木
金
土
日
1
2
3
4
5
6
7
8
9
10
11
12
13
14
15
16
17
18
19
20
21
22
23
24
25
26
27
28
29
30
31
« 1月
最新記事
【名古屋市北区の歯科医が解説】セラミックだけでは治らない?矯正治療が必要な審美症例とは
【名古屋市北区の歯科医が解説】大人の矯正治療|ワイヤー矯正とマウスピース矯正の違いと選び方
むし歯治療で歯をなるべく削らない治療|ダイレクトボンディング症例(小臼歯)名古屋
【正中離開(すきっ歯)の治療】歯を削らず1日で改善するダイレクトボンディング症例
【名古屋市北区の歯科医が解説】大きめの虫歯は削らず治せる?歯を守るダイレクトボンディング治療とは
セラミックは割れやすい?―ジルコニアとe.maxの本当の話
マウスピース矯正について
こんなに綺麗に!ラミネートベニア!
こどもの矯正はいつまでに始めたらいいの??
③どっちがいいの?ジルコニア?e.max? 奥歯選択基準編