むし歯治療では、できるだけ歯を残すことがとても重要です。
むし歯ができた場合、多くのケースでは
・コンポジットレジン修復
・CAD/CAMインレー
などの治療が選択されます。
しかしむし歯の範囲によっては、
CAD/CAMインレーなどの治療を行うために、歯を大きく削る必要がある場合があります。
歯を大きく削ると、歯の構造は弱くなり、
将来的に再治療が必要になるリスクも高くなります。
そこで当院では、なるべく歯を削らない
ダイレクトボンディング治療
を選択することがあります。
これは強度の高いコンポジットレジンを用いて、
歯をなるべく削らずに修復する治療方法です。
症例紹介
今回の症例は上顎第一小臼歯のむし歯です。
咬合面の溝、隣の歯との間にもやや大きめのむし歯が認められました。
むし歯の部分のみを丁寧に除去し、
健全なエナメル質はできる限り残すように治療を行います。
治療中

ラバーダム防湿とマトリックスリングを使用し、むし歯を除去した部分にコンポジットレジンを充填している治療中の状態
ダイレクトボンディングではラバーダム防湿が非常に重要になります。
ラバーダムを使用することで
・唾液の侵入を防ぐ
・接着の成功率を高める
ことができます。
さらにマトリックスリングを使用し、歯の形態を正確に再現しながらコンポジットレジンを充填していきます。
治療直後

ダイレクトボンディングにより咬合面の形態を回復した治療直後の状態
こちらが治療直後の状態です。
ダイレクトボンディングによって歯の自然な形態を回復しています。
治療直後は歯が乾燥しているため周囲の歯と少し色の違いが見えることがあります。
しかし時間が経つと水分を吸収し周囲の歯と自然になじんでいきます。
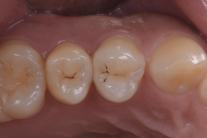
数年後の状態

ダイレクトボンディング治療後数年経過した状態
数年後の状態がこちらです。
コーヒーや醤油などの色素が周囲の歯と同じように自然に染み込むため修復部分はほとんど分からなくなります。
一般の方はもちろん歯科医師が見ても修復部分を見分けることは難しくなります。
ダイレクトボンディングのメリット
この治療の最大のメリットは歯をなるべく削らないことです。
歯が多く残ることで将来もし再治療が必要になった場合でも、治療の選択肢を残すことができます。
歯は一度削ると元には戻りません。
そのため当院では歯をできるだけ残す低侵襲治療(MI治療)を重視しています。
名古屋で歯をなるべく削らないむし歯治療をご希望の方へ
当院ではダイレクトボンディング治療を得意としています。
院長は歯科医師向けのダイレクトボンディングセミナーを10年以上開催しており、多くの症例を経験しています。
・歯をなるべく削りたくない
・自然なむし歯治療を希望したい
このような方はぜひ一度ご相談ください。
よくあるご質問(FAQ)
Q どんなむし歯でもダイレクトボンディングで治せますか?
むし歯の大きさや位置によっては、
ダイレクトボンディングによって治療できる場合があります。
Q ダイレクトボンディングは長持ちしますか?
適切な接着操作とメンテナンスを行えば、
長期間安定して機能することが期待できます。
Q ダイレクトボンディングは誰でもできますか?
高度な接着技術や形態再現が必要なため、
十分なトレーニングを受けた歯科医師が行うことが重要です。
