【名古屋市北区の歯科医が解説】セラミックだけでは治らない?矯正治療が必要な審美症例とは
2026年3月27日
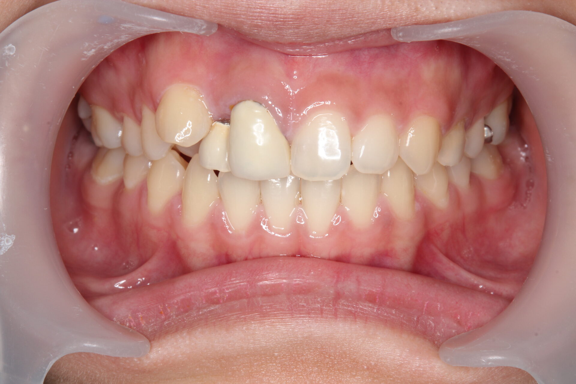
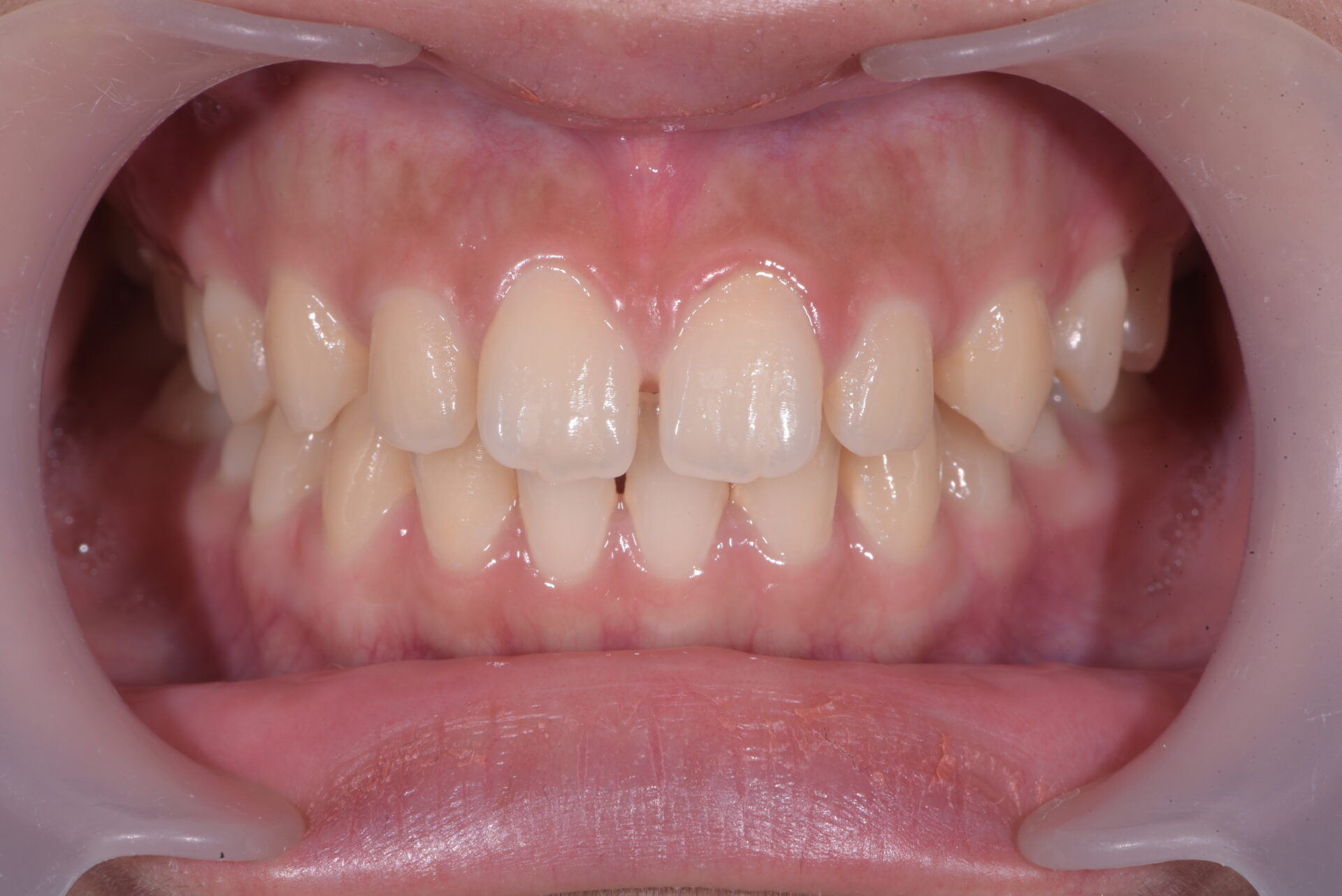
複雑な症例では「補綴だけ」では限界がある
皆さま、こんにちは。
本日…[read more]
【名古屋市北区の歯科医が解説】大人の矯正治療|ワイヤー矯正とマウスピース矯正の違いと選び方
2026年3月27日
みなさん、こんにちは。
本日は、近年関心が高まっている**「大人…[read more]

愛知県名古屋市北区
萩野通2丁目10-1
2026年3月27日
2026年3月27日