複雑な症例では「補綴だけ」では限界がある
皆さま、こんにちは。
本日は「審美修復と矯正治療の関係」について、実際の症例をもとに解説いたします。
近年、セラミックを用いた審美修復は一般的となり、見た目の改善を目的に来院される患者様が増えています。当院でも審美修復は得意分野の一つであり、多くの症例を手がけております。
しかしながら、もともとの歯の位置が不正である場合、補綴治療だけでは理想的な審美性を獲得することが難しいケースが存在します。
これは建築に例えると、不整な地盤の上にどれだけ美しい建物を建てても、最終的な完成度や安定性に限界があるのと同じです。
症例:補綴では解決できない歯列不正
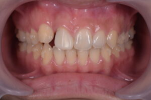
今回の患者様は20代女性で、右上前歯2本に古い補綴物が装着されており、変色と審美不良を主訴に来院されました。

矯正治療前:不適合な補綴物と歯列不正により審美性および清掃性に問題を認める
詳しく診査したところ、
- 右上2番(側切歯)が強く内側に位置
- 右上3番(犬歯)が高位に萌出
- 歯列全体に叢生(ガタつき)あり
という状態でした。
このような症例では、セラミックをやりかえるだけでは歯列の不整を隠すことはできず、清掃性や長期予後にも問題が残ります。
また、いわゆる「セラミック矯正(大きく削って形を整える方法)」は、構造力学的に不利であり、当院では推奨しておりません。
治療計画:矯正治療を併用した根本的改善
そこで今回の症例では、患者様の同意のもと、
👉 右上2番(側切歯)の抜歯を行い、矯正治療でスペースを閉鎖する計画
としました。
もともと叢生量が大きかったため、抜歯なくして歯を正常な位置に移動させることが不可能と診断したため抜歯矯正を選択しました。
マウスピース矯正による歯列改善
抜歯後、マウスピース矯正治療を開始しました。

マウスピース矯正治療中:約6か月後、犬歯の移動とスペース閉鎖が進行している状態
約6か月後には、
- 高位にあった犬歯が適切な位置へ移動
- 歯列の連続性が改善
していることが確認できました。
さらに最終段階では、
- 中切歯との間にわずかなスペースが残存
したため、
- 元々やりかえる予定であった右上中切歯の補綴修正
- 犬歯にダイレクトボンディングで形態修正
を行い、自然な歯列を回復しました。

矯正+審美修復後:歯列の連続性と自然な形態を回復し、調和の取れた口元を獲得
治療結果:削らずに審美性を獲得
本症例では、
- 抜歯1本は必要だったものの
- 新たな歯の切削は行わず、
👉 自然で調和のとれた歯並びと口元を獲得
することができました。
まとめ:審美性を追求するなら「歯の位置」が最重要
審美治療において最も重要なのは、
👉 「歯の形」ではなく「歯の位置」
です。
補綴だけで無理に整えるのではなく、必要に応じて矯正治療を併用することで、
- 審美性
- 機能性
- 長期安定性
すべてを満たす治療が可能となります。
■ よくあるご質問(FAQ)
Q. セラミックだけで歯並びは治せますか?
A. 軽度であれば可能な場合もありますが、多くのケースでは限界があります。歯の位置が大きくずれている場合は矯正治療が必要です。
Q. 抜歯は必ず必要ですか?
A. 症例によります。叢生量が大きい場合には、スペース確保のため抜歯が有効なことがあります。
Q. マウスピース矯正でも歯はしっかり動きますか?
A. 適切な診断と設計を行えば十分に可能です。ただし症例選択が重要です。
■ 矯正・審美治療をご検討の方へ
歯並びや見た目でお悩みの方は、まずは正確な診査・診断を受けることが重要です。
当院では、審美修復と矯正治療の両面から最適な治療計画をご提案いたします。
■ 監修・執筆
飯田真也(歯科医師)
いいだ歯科医院 院長(名古屋市北区)
接着修復・審美歯科を専門とし、多数の講演・執筆実績を有する
