本日は、近年関心が高まっている**「大人の矯正治療」について解説いたします。
矯正治療を検討される際、多くの方が悩まれるのが治療方法の選択です。
現在、矯正治療は大きく分けて「ワイヤー矯正」と「マウスピース矯正」**の2つに分類されます。
ワイヤー矯正とマウスピース矯正、それぞれの特徴
まず、従来から広く行われているワイヤー矯正は、歯に装置を固定し、24時間持続的に力をかける方法です。
この方法の最大のメリットは、歯の移動効率が高く、比較的治療期間が短くなる傾向がある点にあります。
一方で、金属の装置が目立ってしまうことや、装置の周りに汚れが溜まりやすく、清掃性が低下しやすいといったデメリットも考慮しなければなりません。
対して、近年人気の高いマウスピース矯正は、装置の取り外しが可能であることが大きな特徴です。
見た目が自然で目立ちにくく、食事やブラッシングの際に取り外せるため、清掃性の面で非常に優れています。
しかし、患者様ご自身での管理が重要となり、装着時間が不足すると矯正力が十分に発揮されず、治療期間が延びる可能性があります。
また、歯のねじれの改善や細かな移動など、一部の複雑な動きにおいては制限があるとされています。
このように、それぞれの方法には長所と短所があり、お口の状態(症例)によって適した治療法は異なります。
場合によっては、これら両者を併用することで、より効率的かつ精度の高い治療を目指すことも可能です。
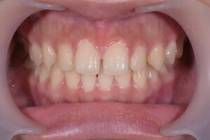
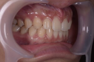
ここで、当院での具体的な治療例をご紹介します。患者様は20代の女性で、「前歯の隙間」を主訴に来院されました。

マウスピース矯正治療前:前歯部に複数の隙間と正中のズレを認める

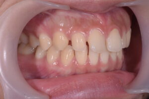
マウスピース矯正治療前:前歯部の空隙と歯列の不整、前後的な位置関係の乱れを認める

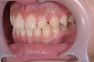
マウスピース矯正治療前:叢生および歯列不正、犬歯部の位置異常を認める
一見すると大きな問題はないように見えましたが、詳しく診査したところ、複数箇所に空隙(隙間)があり、さらに上下の歯列の中心(正中)にもズレが認められました。
十分な診査・診断のもと、患者様の生活スタイルや審美的なご要望を考慮し、今回はマウスピース矯正を選択して治療を行いました。

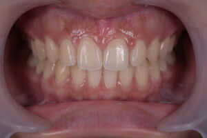
マウスピース矯正治療後:前歯の隙間は閉鎖し、正中および歯列が整い審美性・清掃性ともに改善

マウスピース矯正治療後:歯列および咬合関係が整い、連続性のある歯並びを獲得

マウスピース矯正治療後:歯列および咬合が整い、左右ともに均整の取れた歯並びを獲得
治療を開始してから約9か月後には、すべての隙間が閉じ、ズレていた正中も一致させることができました。
結果として、審美性はもちろんのこと、歯並びが整ったことで磨き残しも減り、清掃性ともに非常に良好な状態を獲得されています。
■ よくあるご質問
Q. 前歯の隙間(正中離開)はマウスピース矯正で治せますか?
はい、多くのケースで改善が可能です。特に今回のような軽度〜中等度の隙間であれば、マウスピース矯正でも十分に対応できます。ただし、歯の大きさや骨格的な問題が関与している場合には、ワイヤー矯正や併用治療が必要になることもあります。
Q. ワイヤー矯正とマウスピース矯正はどちらが良いですか?
それぞれに適した症例があります。ワイヤー矯正は歯の移動効率が高く、幅広い症例に対応可能です。一方、マウスピース矯正は見た目や清掃性に優れています。当院では診査・診断のうえ、患者様のご希望と症例に応じて最適な方法をご提案しています。
Q. マウスピース矯正はどのくらいの期間がかかりますか?
症例によりますが、軽度〜中等度の歯列不正であれば6か月〜1年程度が目安です。今回の症例では約9か月で改善しています。装着時間(1日20時間以上)を守ることで、計画通りの治療が可能になります。
Q. マウスピース矯正は痛みがありますか?
ワイヤー矯正と比較すると、痛みは比較的少ないとされています。ただし、新しいマウスピースに交換した直後は、軽い圧迫感や違和感を感じることがあります。
Q. 食事や歯磨きは普段通りできますか?
はい、マウスピースは取り外し可能なため、食事や歯磨きは通常通り行えます。これにより、むし歯や歯周病のリスクを抑えやすいというメリットがあります。
Q. 矯正治療後に後戻りはしますか?
矯正治療後は歯が元の位置に戻ろうとするため、保定装置(リテーナー)の使用が重要です。適切に使用することで、きれいな歯並びを長期的に維持することができます。
Q. 目立たない矯正を希望していますが可能ですか?
はい、マウスピース矯正は透明な装置を使用するため、周囲に気づかれにくいのが特徴です。接客業や人前に出る機会が多い方にも適した治療法です。
まとめ:まずは専門的な診査・診断を
矯正治療は、単に見た目を美しくするだけでなく、噛み合わせなどの機能面や、清掃性の向上によるお口全体の健康維持にも大きく寄与します。
今回の症例のように、ワイヤー矯正でも対応可能なケースであっても、患者様のライフスタイルに合わせて最適な方法を第一選択としてご提案することが可能です。
ご自身に最も適した治療法を知るためには、まずは歯科医師による専門的な診査・診断を受けることが何より重要です。理想の笑顔への第一歩を、ぜひ当院と一緒に踏み出してみませんか?
矯正治療についてご相談をご希望の方へ
前歯の隙間や歯並びでお悩みの方は、お気軽にご相談ください。
当院では患者様一人ひとりに合わせた治療方法をご提案しております。
監修・執筆:飯田真也(歯科医師)
いいだ歯科医院 院長(名古屋市北区)
接着修復・審美歯科を専門とし、多数の講演・執筆実績を有する
